
Displasia congenita dell’Anca
Con il termine displasia dell’anca (o lussazione congenita dell’anca) comprendiamo un insieme di anomalie dello sviluppo dell’anca presenti alla nascita, in cui è alterato in modo più o meno grave il rapporto tra testa del femore e bacino (acetabolo)
Displasia dell’anca: quali problemi comprende?
I bambini che presentano una displasia congenita o lussazione congenita dell’anca possono presentare quadri molto differenti:
– dalla displasia acetabolare, in cui testa del femore e acetabolo hanno rapporti normali ma l’acetabolo ha una conformazione non sufficiente a contenere adeguatamente la testa del femore;
– alla sublussazione, un quadro intermedio tra displasia e lussazione
– alla lussazione completa, in cui invece la testa del femore non è centrata correttamente nell’acetabolo e pertanto necessita di rapido trattamento per ristabilire i corretti rapporti.

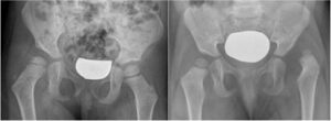
(a) Displasia dell’anca destra: la testa del femore è correttamente centrata, ma l’inclinazione dell’acetabolo (indice acetabolare) è più verticale; (b) lussazione anca sinistra.
Displasia congenita dell’anca: quali sono le CAUSE
Le cause della displasia congenita o lussazione congenita dell’anca non sono ancora state chiarite con certezza.
Il ruolo principale sembra essere svolto dalla presenza di posture anomale all’interno dell’utero (cosiddette posture lussanti). In questa posizione, la testa del femore viene pressata contro l’acetabolo in maniera anomala determinando uno sviluppo anomalo dell’acetabolo stesso e la lassità dell’articolazione.
Per questo motivo i bambini col maggior rischio di lussazione congenita dell’anca sono quelli con presentazione podalica.
Altro fattore di rischio primario è la familiarità di primo grado per displasia dell’anca, cioè il fatto che la madre o il padre o un fratello/sorella abbiano sofferto di displasia dell’anca.
Questi due fattori sono i fattori che vengono tenuti principalmente in considerazione in quei sistemi sanitari in cui viene eseguito uno screening ecografico selettivo, cioè riservato solamente ai bambini con fattori di rischio.
Purtroppo molti studi hanno dimostrato che anche in assenza di questi fattori di rischio può svilupparsi la displasia dell’anca.
Altri fattori di rischio:
– Sesso femminile. Le femmine sono più colpite dei maschi. Ma questo non significa che i maschi non possano avere displasia dell’anca
– Gemellarità
– Oligoidramnios: presenza di poco liquido amniotico;
– Malformazioni associate (piede torto, piede talo-valgo, torcicollo miogeno, ecc). Anche per queste condizioni, il discorso è ampio e complesso
– Infine, può essere presente una predisposizione genetica alla base della malattia.
Displasia congenita dell’anca: come si manifesta?
Nella stragrande maggioranza dei casi la displasia congenita dell’anca non dà una manifestazione esterna che sia visibile agli occhi dei genitori alla nascita. Solo i casi gravi di lussazione completa dell’anca si presentano con un arto che appare un po’ accorciato rispetto all’altro e con altri segni evidenti (ad esempio pieghe cutanee asimmetriche, associate all’accorciamento dell’arto).
In tutti gli altri casi, la condizione può essere evidenziata solo attraverso un’accurata valutazione clinica da parte del neonatologo/pediatra che lo visita e attraverso una valutazione ecografica eseguita da mani esperte.
Displasia congenita dell’anca: quali sono le conseguenze
Se non viene riconosciuta e diagnosticata una displasia dell’anca, l’evoluzione può essere varia:
– Alcuni casi molto lievi (lievi immaturità, lievi displasie) possono anche andare incontro a guarigione spontanea in molti casi
– Le displasie “vere” però possono invece andare incontro a progressivo peggioramento. Questo può portare nei casi più accentuati a una progressiva lussazione dell’anca, in tempi più o meno rapidi, che ad esempio può manifestarsi quando il bimbo inizia a camminare, con una zoppia evidente e l’accorciamento dell’arto. Nei casi meno gravi invece, non si sviluppa una lussazione progressiva, la testa del femore rimane nella sua sede, ma a causa di una non perfetta congruenza tra testa del femore e acetabolo, l’articolazione lavora male e si consuma più rapidamente, sviluppando quindi un’artrosi precoce (che spesso porta alla necessità di una protesi dell’anca in giovane età)
– La lussazione dell’anca se non trattata generalmente porta a un accorciamento dell’arto e a una zoppia importante.
Displasia congenita dell’anca: come si effettua la diagnosi
I due elementi fondamentali per la diagnosi della displasia dell’anca sono:
– La visita clinica da parte di un nenonatologo/pediatra capace di eseguire adeguatamente le manovre
– L’ecografia dell’anca eseguita da mani esperte.
1) Nella visita, l’esaminatore deve essere in grado di riconoscere i vari segni tipici della displasia dell’anca: instabilità, ridotta abduzione, accorciamento, pieghe cutanee asimmetriche, ecc.
Alcune manovre sono fondamentali per riconoscere i quadri più evidenti di displasia/lussazione: la manovra di Ortolani e la manovra di Barlow. È fondamentale che queste manovre vengano eseguite alla nascita e nei primi bilanci di salute e registrate sul libretto.
Si tratta di manovre non facili e che devono essere eseguite da personale esperto
Purtroppo, non tutti i casi di displasia dell’anca risultano positivi all’esame clinico. Per tale motivo è fondamentale potenziare la diagnosi con uno strumento ulteriore e non invasivo: l’ecografia eseguita da personale esperto.
2) L’ecografia dell’anca è in grado di effettuare una diagnosi precisa della morfologia dell’articolazione dell’anca e di riconoscere tutti i gradi della patologia, dai casi più lievi che possono sfuggire all’esame clinico, ai casi più gravi. Per tale motivo rappresenta il cardine della diagnosi di displasia dell’anca
Concetto fondamentale: non è sufficiente eseguire un’ecografia dell’anca per stare tranquilli. È fondamentale che l’ecografia venga eseguita da personale esperto e seguendo criteri precisi, descritti dal suo ideatore, Graf.
Displasia dell’anca: quando eseguire l’ecografia?
Le attuali raccomandazioni della Società Italiana di Pediatria e Ortopedia Pediatrica raccomandano di eseguire l’ecografia a tutti i neonati tra le 6 e le 8 settimane di vita.
La displasia dell’anca (o lussazione congenita dell’anca) comprende un insieme di alterazioni dello sviluppo dell’anca che portano a un’alterazione della morfologia e dei rapporti tra la testa del femore e il bacino. Il trattamento necessita di centri con esperienza specifica.
Il nostro centro ha un ambulatorio che si occupa di tutti gli aspetti, dalla diagnosi ecografica all’applicazione di divaricatori o apparecchi gessati, agli interventi chirurgici (riduzione incruenta/cruenta, osteotomie femorali, tettoplastica, ecc)
Si rimanda ad altre schede per aspetti specifici:
- la riduzione cruenta
- la tettoplastica
- la trazione
- la Necrosi
- le radiografie
- Consigli da genitore a genitore

