Tibialis Anterior Tendon Transfer for Recurrent Clubfoot: a modern technique
Cutting-edge technique for Tibialis Anterior Tendon Transfer for recurrent clubfoot.
Tibialis Anterior Tendon Transfer is the most important and most commonly used procedure for cases of recurrent clubfoot.
Dr. Lampasi and his team at OrthoChildren use a cutting-edge method for recurrent clubfoot that allows children to rapidly recover. They are among the most experienced international centers in this type of procedure. The results of this method have been published in international journals and shared at national and international conferences.

The traditional method for the Tibialis Anterior Tendon Transfer
Traditional methods (using a button to fix the transfer) for anterior tibial transfer mostly require long immobilization, large scars, and slow functional recovery.
Centers that use “classic” methods generally recommend the application of long casts (above the knee) for 30-40 days without the possibility of walking, followed by a subsequent cast below the knee for a further 30 days to begin walking with weight bearing.
Often the surgery is proposed one side at a time (in bilateral cases) and the recovery of walking after cast removal usually takes a long time.
In 2010, Dr. Lampasi published in one of the most important international orthopedic journals (JBJS Br, see link) a long-term review of a series of patients operated with this method at the Rizzoli Orthopedic Institute in Bologna (where he worked for over 15 years, introducing the Ponseti method for the first time), highlighting the limitations of this technique.

Our method for the Tibialis Anterior Tendon Transfer
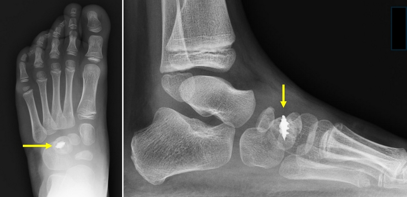
Our minimally invasive procedure involves fixing the transfer tendon with a screw anchor inserted into the bone. This screw is embedded in the bone (therefore, it does not need to be removed) and ensures immediate stability during the procedure.
This method is combined with the use of the principles of the Ponseti method to ensure minimally invasiveness and rapid recovery.

Our experience
Our experience with this method now spans over 15 years and has been perfected over time.
Dr. Lampasi learned the principles of this method from Dr. Ana Ey of Barcelona, one of the world’s leading experts on the Ponseti method, and has since applied it to hundreds of children from Italy and abroad, first at the Rizzoli Orthopedic Institute in Bologna, then while he was Head of Pediatric Orthopedics at the Meyer Pediatric Hospital in Florence, and subsequently at the OrtoPediatria and OrthoChildren Centers in Bologna.
What is Tibialis Anterior Tendon Transfer?
The tibialis anterior is the muscle that allows you to lift your foot upward while walking. In patients with recurrent clubfoot, this muscle works incorrectly, causing the foot to roll inward.
The tibialis anterior transfer changes the action of this muscle so that it can work more effectively and turn the foot outward instead of inward.
When to perform anterior tibial transfer?
The basis for the success of the anterior tibial transfer surgery is a correct indication and correct execution.
In the course of our experience, we have dealt with
- cases that had been undergoing other treatments for years without benefit (physiotherapy, orthopedic shoes, etc.) which were then resolved with transfers.
- cases in which invasive interventions (osteotomies, arthrodesis, etc.) had been recommended, which we resolved without the need for invasive procedures.
- And vice versa, cases in which the indication to carry out the transfer had been given (in centers with little experience), in which in reality the transfer was not necessary.
It’s also essential to have experience with the technique. In our experience, we’ve had to treat:
- cases already operated on elsewhere where the transfer was ineffective: the revision of an incorrectly performed transfer operation is one of the most complex procedures in the treatment of clubfoot, so it is always advisable to perform the operation correctly from the beginning

Are other procedures performed along with the anterior tibial transfer?
During the transfer procedure, it may be necessary to perform other ancillary procedures to ensure the best result: tenotomy of the Achilles tendon and the adductor of the first ray, plantar fasciotomy, tenotomy of the finger flexors, procedures on the peroneal muscles, etc.
These procedures are always performed in a minimally invasive way and according with the principles of the Ponseti method.
This represents a clear advantage over traditional open lengthening methods with extensive scarring that are still used in many centers today.
Over the years, experience has allowed us to refine the techniques and establish the correct indications for combining these procedures with anterior tibial transfer surgery.
Will a child who underwent anterior tibial transfer surgery be able to walk in a cast?
Yes. This method allows you to walk quickly on the cast, which is not possible with traditional techniques (using the button to fix the transfer).
A few days of rest with the limb elevated is generally recommended, after which walking and progressive, full weight-bearing on the cast are permitted. This facilitates rapid functional recovery and helps the family manage the child during the cast period (return to school, etc.).

Is it possible to perform anterior tibial transfer surgery on both feet at the same time?
Yes. In bilateral recurrences, the advantage of being able to perform this procedure on both feet simultaneously offers a huge advantage.
The child can walk with the two casts very soon after the operation and functional recovery is very rapid.
Are additional casts or braces needed before and after surgery?
In some rare cases, it is advisable to apply a preliminary cast before the operation or a splint after the operation. Again, this is an evaluation that requires experience and can guarantee a better outcome to the procedure.
Neurogenic clubfoot, clubfoot syndrome, or hypoplastic clubfoot: is anterior tibial transfer indicated?
Our center not only treats clubfoot but, unlike other centers, also complex pathologies, neuro-orthopedics, and hypoplasia. We regularly perform transfers in these complex conditions, if indicated.
In these conditions, it is even more important to be treated by experienced centers, because treatment is not limited to surgery alone but requires comprehensive management of other aspects as well (correct indications for rehabilitation, correct prescription of braces, correct indications for associated procedures, possible limb lengthening, etc.).

Patients from abroad: can OrthoChildren Center treat foreign patients?
Yes, many patients come from all countries (Europe and USA):
- the surgical equipe has a wide experience with these procedures
- the procedure is less expensive than in USA and other countries
- Families take advantage of this opportunity to combine a trip to the beauties of Italy
Related Pathologies
Do you have a question? We have an answer.
Request an opinion
Briefly describe your story in this Form, our team will answer you as soon as possible!
"*" indicates required fields
