Treatment of Blount’s disease
Blount’s disease
Blount’s disease is a severe pathology that affects the growth of the knee in children, causing a rapid and progressive deviation into varus.
Treatment of Blount’s disease requires centers with experience in this pathology. Early diagnosis and adequate knowledge of its evolution are essential.
For explanations of the pathology and its evolution, see the fact sheet: Genu varum and Blount’s disease
Once a definitive diagnosis of Blount’s disease has been made, treatment should be initiated promptly.
Blount’s Disease: Is Brace Treatment Possible?
For the treatment of Blount’s disease, in specific cases (mild forms and in the initial phase, usually within 3-3.5 years) an attempt at treatment with braces may be justified. In some cases it is possible to resolve the situation in this way, but it is necessary to apply the appropriate brace.
In case of failure, and in all other cases, the treatment must instead be rapidly surgical, to avoid the progressive evolution of the pathology.
Surgical Treatment of Blount’s Disease: What to Consider?
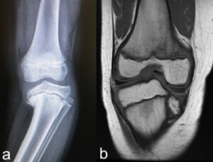
To decide which surgical procedure to perform to correct Blount’s disease, it is necessary to consider the deformity present in the specific case. In fact, the progression of the pathology determines different anatomo-pathological conditions, for which it is necessary to adapt the procedure to the specific problem. Typical findings are: deformation of the articular surface of the tibia (the internal part is lowered compared to the external one), worsening varus deviation, deformation of the distal femur, shortening of the limb, etc.
The surgeon will request specific diagnostic tests to perform this evaluation (X-ray, MRI, etc.)

Surgical Treatment of Blount’s Disease: What Mistakes to Avoid?
The surgical treatment of Blount’s genu varum is a complex treatment that requires experience. Unfortunately, it is not uncommon to observe cases operated with the sole purpose of improving the global axis of the limb, without considering the multiple aspects of the problem. Often these cases are characterized by an improvement that is only aesthetic, but not mechanically correct (with future consequences that should not be underestimated).

Surgical Treatment of Blount’s Disease: What Procedures?
A center with experience in this condition is able to apply the correct procedure based on the specific picture found. Our center has extensive experience in each of the surgical techniques listed here.
The main procedures that can be performed are:
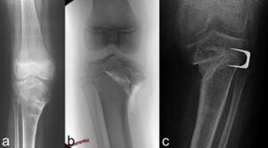
- Valgus osteotomy of the proximal tibia . Section of the upper part of the tibia, performed below the tibial tuberosity, has the objective of correcting the anatomical axis, and possibly also the internal rotation. It is indicated especially in cases operated early. It presents vascular and neurological risks.
- Tibial plateau elevation osteotomy. This is essential in cases where the varum knee is associated with deformities of the articular surface, to restore its profile. It is usually performed using bone wedges that are added under the growth plate to re-elevate the articular surface.
- Double tibial osteotomy. A unique procedure that includes the two previous osteotomies, so as to simultaneously treat both the varus deviation and the joint deformity.

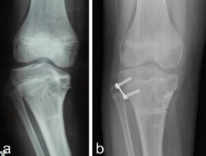
- Asymmetric lateral hemiepiphysiodesis with “8” plates. A plate is placed on the lateral part of the growth cartilage of the tibia, with the aim of slowing the growth of this area. If the deformity is in a very early stage and the growth of the internal part of the cartilage is still valid, a progressive correction of the varus can be observed. In all other cases, this technique alone is not sufficient, and can sometimes be associated with complications (for example, breakage of the screws). It can also be associated with one of the techniques already listed, with the aim of limiting the risk of recurrence of the condition.

- Progressive correction with hexapodalic external fixator. This is a complex technique but it can give excellent results, especially for the most severe forms of varus knee. It allows the simultaneous correction of different aspects (varus deviation, internal rotation, shortening) limiting the vascular and neurological complications related to extemporaneous corrections. It also allows the limb to be lengthened in the same procedure.
Surgical Treatment of Blount’s Disease: What Are the Risks?
In addition to the risks of vascular and neurological suffering already mentioned, the treatment of this type of varus knee unfortunately has to deal with the suffering of the growth cartilage. This disorder often persists even once the correct joint relationships have been re-established, so over time, with the growth of the patient, there will be the risk of a tendency to bring the knee back to the starting situation (recurrence of varus knee).
Do you have a question? We have an answer.
Request an opinion
Briefly describe your story in this Form, our team will answer you as soon as possible!
"*" indicates required fields
