
Hip displacement in cerebral palsy
Hip displacement in cerebral palsy: general information
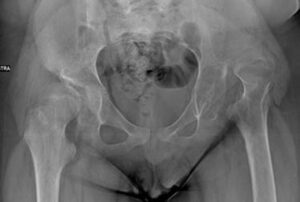
Hip dislocation and subluxation are fairly common conditions in children with Cerebral Palsy , with a frequency ranging from 15-20% to 75% in the most severely affected patients. This dislocation is not present at birth, but develops progressively over the years .
Causes and pathogenic mechanisms
A series of factors ( spasticity and retraction of the muscles, especially the adductors and iliopsoas, altered proprioception and inadequate muscle control, prolonged adduction postures of the patients, lack of weight bearing, etc. ) have been called into question to explain the process by which the head of the femur progressively moves away from its seat until it dislocates completely, and marked anatomical alterations are determined (intratorsion of the femur, valgus of the femoral neck, slippage of the acetabulum, tendon retractions, pelvic obliquity, etc.).

Patient providers are responsible for implementing programs to identify early deterioration in the relationship between the acetabulum (pelvis) and femur and direct patients to facilities capable of correcting these conditions before they develop into serious and difficult-to-resolve conditions.
Please refer to another factsheet for a description of the problems related to dislocation and recommended protocols for monitoring hip dislocation in children with Cerebral Palsy.
Treatment of hip dislocation in children with cerebral palsy
Once the alteration of the joint relationships has been highlighted, it is necessary to take into consideration the most appropriate treatment, in relation to a series of factors to be evaluated, among which we remember:
- the severity of the dislocation (evaluating specific radiographic parameters)
- the evolution of the situation, that is, the speed with which it is worsening
- the clinical picture (hip mobility, symptoms, association with scoliosis, pelvic obliquity, windblow, etc.)
- the patient’s functional level
- the patient’s general conditions (any associated anaesthetic risks)
- the age

In milder cases of initial hip joint dysfunction, conservative treatments are often considered (physiotherapy, Botox injections, orthopedic braces that keep the limbs abducted, i.e., spread apart, to better center the hips). Unfortunately, most of these treatments have never been proven to be truly effective, and the outcome is often uncertain.
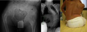
Hip reconstruction surgeries in patients with cerebral palsy
Our center has considerable experience in this field and uses modern techniques to treat this condition. Please refer to the dedicated factsheet.
Multilevel Fibrotomy in Children with Cerebral Palsy
Reconstruction for hip displacement in Cerebral Palsy
Multilevel Surgery in Cerebral Palsy
Pelvic radiographs in patients with Cerebral Palsy: new sheets
Orthopedic surgery in Cerebral Palsy: false beliefs and new perspectives
Casi Clinici Correlati

