Perthes (morbo di- )
Cos’è il morbo di Perthes?
Il morbo di Perthes (o di Legg-Calvè-Perthes) è una condizione in cui un evento ischemico colpisce la vascolarizzazione della testa del femore (epifisi) in accrescimento, provocandone una “necrosi avascolare”. Detto in termini più semplici, il sangue non arriva in maniera adeguata alla testa del femore, per cui le cellule ossee muoiono.
A seguito di questo evento, si manifesta uno scenario piuttosto tipico in cui inizialmente la testa femorale rallenta il suo sviluppo, si addensa, e tende a schiacciarsi e frammentarsi, e successivamente si ristruttura e rimodella progressivamente in maniera più o meno soddisfacente.

Morbo di Perthes: le cause
Le cause non sono note, anche se sono stati chiamati in causa diversi fattori (alterazioni della coagulazione, microtraumi vascolari, anomalie primarie dell’ossificazione dell’epifisi, ecc).
Il processo colpisce molto più frequentemente i maschi (rapporto maschi:femmine = 4:1) e generalmente su un solo lato (circa 85% dei casi). Non si tratta di una malattia ereditaria: molto raramente la familiarità è positiva (5%).
Il morbo di Perthes si può manifestare in una fascia di età molto ampia (tra i 2 e i 13 anni) ma tipicamente colpisce i bambini tra i 4 e gli 8 anni.
Morbo di Perthes: la clinica
Il quadro clinico si manifesta inizialmente con comparsa di zoppia del bimbo, che generalmente lamenta dolore a livello inguinale o alla coscia o al ginocchio.
Questo è un aspetto molto importante, ed è fondamentale sapere che in un bambino che lamenta dolore al ginocchio, bisogna sempre considerare che è possibile che il dolore derivi dall’anca.
Il dolore ha caratteristiche meccaniche, cioè si risolve col riposo e aumenta con l’attività.
Non è presente febbre, nè malessere generale. Gli esami del sangue sono normali.
Una visita accurata consente di evidenziare la presenza di una limitazione del movimento a carico dell’anca affetta (riduzione di abduzione e rotazioni soprattutto).
Morbo di Perthes: come diagnosticare?
Il morbo di Perthes entra in diagnosi differenziale con le altre patologie che più frequentemente colpiscono l’anca dei bambini nella stessa fascia di età, principalmente la sinovite transitoria dell’anca e le infezioni osteoarticolari. Dopo la visita iniziale, gli esami del sangue, l’ecografia ed infine un esame radiografico guideranno il medico verso la corretta diagnosi.
Sottolineiamo che se da un lato è importante non eseguire radiografie routinariamente a ogni paziente con zoppìa (al fine di limitare l’esposizione dei bambini alle radiazioni ionizzanti), sarà necessario effettuarle in tutti i casi in cui la rigidità articolare non si risolva dopo pochi giorni (come generalmente avviene nelle sinoviti transitorie) o nei casi in cui la diagnosi rimanga comunque poco chiara (per escludere altre possibili diagnosi).
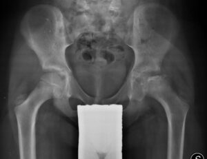
Una radiografia del bacino e dell’anca in proiezione ascellare consentono generalmente di arrivare a una diagnosi di morbo di Perthes nelle fasi conclamate.
In fase iniziale, è comunque possibile che la radiografia non mostri ancora i segni della malattia, pur in presenza del processo di necrosi. In questi casi, è possibile ricorrere ad esempio a una Risonanza Magnetica, in grado di evidenziare il processo più precocemente di un esame radiografico.

Morbo di Perthes: l’evoluzione tipica
Il processo patologico comporta un’evoluzione tipica dell’aspetto radiografico del femore, che attraversa più fasi:
- Fase di addensamento: il nucleo femorale appare più denso, “metallizzato”
- Fase di frammentazione: il nucleo appare frammentato, “tigrato”, per riassorbimento delle trabecole necrotiche
- Fase di ricostruzione: il nucleo si ristruttura progressivamente
- Fase della deformità residua. Il femore prossimale raggiunge progressivamente la sua forma definitiva.

Ogni sforzo dovrà essere fatto nella gestione del paziente con morbo di Perthes per far sì che la forma finale della testa del femore sia il più possibile sferica e congruente rispetto all’acetabolo.
In caso di esito in forme ovoidali, a punta o non congruenti o alterazioni macroscopiche del collo femorale (coxa magna, coxa plana, coxa brevis) ne deriveranno alterazioni via via più gravi dell’articolazione e conseguente usura precoce della cartilagine (artrosi).
Morbo di Perthes: i fattori di rischio per la prognosi
La prognosi è legata principalmente a:
- Segni clinici di rischio: obesità, contrattura in adduzione, ecc
- Segni radiografici di rischio: segno di Gage, metafisite, tendenza alla sublussazione, calcificazioni laterali, ecc
- Severità del coinvolgimento. Quest’ultimo viene valutato secondo la classificazione di Herring (o del pilastro laterale) che suddivide in gruppi a gravità crescente (A, B, B/C borderline, C) e prognosi progressivamente peggiore, a seconda del coinvolgimento della parte laterale dell’epifisi.
E’ importante sottolineare come la severità del morbo di Perthes secondo la classificazione di Herring può essere assegnata solo in fase di frammentazione, per cui nei casi diagnosticati precocemente (ad esempi in fase pre-radiografica e in fase di addensamento) non è possibile stabilirla alla prima valutazione.
Il trattamento conservativo: gli obiettivi. Cos’è il “containment”?
Distinguiamo obiettivi:
- A breve termine: mantenere il più possibile il movimento articolare.
- A medio termine: mantenere la centrazione della testa del femore nell’acetabolo.
- A lungo termine: conservare la sfericità della testa del femore a fine crescita.
Il “containment” (=contenzione) è il principio base del trattamento dei pazienti con morbo di Perthes: mantenendo la testa del femore nell’acetabolo, quest’ultimo funziona come un calco per mantenere sferica la testa del femore.
La testa femorale ha infatti la tendenza a sublussarsi (cioè a fuoriuscire lateralmente in modo progressivo) e nei casi più gravi sviluppa una deformità a gradino della sua parte laterale (Hinge Abduction) che impedisce alla testa di rientrare completamente all’interno dell’acetabolo.
Per evitare o limitare queste conseguenze, l’ortopedico si avvale di mezzi conservativi e chirurgici.
Morbo di Perthes: il trattamento conservativo
Include diversi strumenti:
- Fisioterapia
- Periodi di trazione (notturna, a tempo pieno) al fine di ridurre la contrattura muscolare
- Piscina, cyclette
- Limitazione del carico: uso di stampelle/bastoni antibrachiali/carrozzina per limitare la deformazione/collasso della testa femorale
Morbo di Perthes: i tutori servono?
In passato sono stati proposti diversi tipi di tutori per il morbo di Perthes (staffa di Thomas, tutore di Atlanta, TDA, ecc). Non è però mai stata dimostrata per nessuno di questi una reale efficacia; rappresentano inoltre strumenti molto impegnativi per le famiglie e i pazienti. Ad oggi sono stati quasi completamente abbandonati.
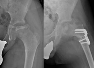
Morbo di Perthes: il trattamento chirurgico
Per mantenere la testa femorale centrata nell’acetabolo, il chirurgo ortopedico dovrà valutare la procedura chirurgica migliore (osteotomia del femore o di bacino) per ottenere la migliore centrazione del femore. Ogni procedura include vantaggi e svantaggi, che il chirurgo ortopedico dovrà conoscere bene e discutere con la famiglia.


Morbo di Perthes: è sempre necessaria l’osteotomia?
No. L’ortopedico dovrà prendere in considerazione i vari aspetti del morbo di Perthes (età, severità, fattori di rischio, stadio, ecc) per decidere il tipo di trattamento.
Per la maggior parte dei casi di morbo di Perthes non è necessario alcun trattamento o è sufficiente un trattamento conservativo.

In qualche caso di morbo di Perthes verrà preso in considerazione un intervento minore di allungamento dei muscoli retratti o un’artrografia dinamica (cioè l’iniezione di mezzo di contrasto in articolazione) per valutare meglio se la testa del femore ha la possibilità di centrarsi o meno.
Non sarebbe meglio aspettare più tempo possibile e poi eventualmente effettuare l’intervento?
Purtroppo è un ragionamento scorretto. L’intervento chirurgico per morbo di Perthes andrebbe considerato nelle fasi di frammentazione iniziale, quindi piuttosto precocemente. Uno degli errori più frequenti è quello di decidere troppo tardi di operare, quando ormai la testa del femore si è deformata, con risultati molto scadenti.

